当時のブログから転載してます。
猫骨折の一例としていつか誰かの参考になれば幸いです。
骨折治療ざっくり経過まとめの続きです。
画像枠が5枚しかないんで3回分けになった3回目。
今回でラストです。
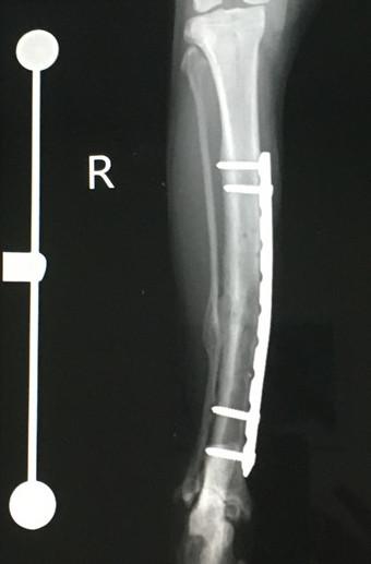
4月15日 手術から9ヶ月 後
札幌病院、経過観察、骨形成OK

6月3日 手術から 11ヶ月 後
札幌病院、経過観察、骨形成OK
7月に残りのプレート抜去予定

7月17日 手術から 12ヶ月 後
2回目のプレート抜去
メインプレートとボルト4本抜去。

隔離部屋再開、14日間エリザベス&ケージレスト&隔離部屋のみ生活。
7月28日 手術から 12ヶ月 後
地元病院で抜糸 4針
軽い皮膚炎ができてたので翌々日ケージレスト終了
8月21日 手術から 13ヶ月 後
札幌の病院で経過観察、骨形成OKで問題なし。

本当はこの4ヶ月後に再度経過観察って言われたけどとりま完治ってことにするw。
・・・いやもう長かった。
たまたま紹介された病院がとことんやるとこだったので
本当ならここまで長くかからないと思われ
良かったのか悪かったのかー。
さてお待ちかねの(?)
骨折治療費総額発表ーーーー。
令和2年
7月25日 地元病院 応急処置 / 22,550円
7月26日 札幌動物病院 手術 / 457,350円
7月28日 地元病院 経過観察 / 4,950円
8月 3日 地元病院 経過観察、抜糸 / 8,270円
8月12日 地元病院 経過観察 / 1,100円
8月16日 札幌動物病院 経過観察 / 10,780円
9月 3日 札幌動物病院 経過観察 / 10,780円
10月 4日 札幌動物病院 経過観察 / 10,780円
11月29日 札幌動物病院 経過観察 / 10,780円
令和3年
1月21日 札幌動物病院 経過観察 / 10,780円
3月10日 札幌動物病院 プレート抜去手術 161,425円
3月17日 地元病院 経過観察、抜糸 / 6,600円
4月15日 札幌動物病院 経過観察 / 10,780円
6月 3日 札幌動物病院 経過観察 / 10,780円
7月13日 札幌動物病院 プレート抜去手術 / 134,585円
7月28日 地元病院 経過観察、抜糸 / 1,100円
8月21日 札幌動物病院 経過観察 / 10,780円
さーて合計金額はー
(ドラムロール)
884,170えーーーーん!!!。
内訳 地元病院 44,570円
札幌動物病院 839,600円
ざっくり言うと軽トラック新車で1台分ーーー!!!。
軽トラックの男爆誕!
何度も書くけど、他の病院で治療を受けた場合ここまではかからないの!。
仕事柄動物関連の情報多い友達も、地元病院も金額にたまげてるの!。
ぶっちゃけGoogleのレビューで「治療は一流だけど、高い」って書かれてるくらいなの。
で も ね。
札幌の病院の方針は理解してるんですよ。
手厚いスタッフ、最新機器を揃えて、専門治療をとことんやる、そう言う病院はやっぱり必要だと思う。
そう言う積み重ねが、今までできなかったことを可能にして行くんだと思うですよ。
んだけど、やっぱり無保険の庶民にこの治療費はしんどかった(><)。
当初言われてた100万円まではかからなかったけどーーー。
定額給付金ありがとうーーー。
おかげさまで軽トラックの男は、骨折しても入院1日だけで済んで
足が痛いそぶりは一切ありませーーーん。
ここまで出費したんだから、それ相応に長生きしていただきます。
下僕との約束だ!。
以上で骨折で90万吹っ飛んだ話は終了です。
※細かく言うと884,170円ですが、ケージとかの代金込みでw。
いやマジ自分と家族の定額給付金がなかったらヤバかった。
今でも思い出すと嫌な汗でます(==;。
ペット保険は高齢猫厳しいので、せめて猫貯金の額を増やそうと決意しました。
お付き合いありがとうございました。





















13
最近のコメント